ENGLISH
  • 官方微博

  • 微信公众号

  • 微资讯

医院动态

临床资讯
临床资讯当前位置:首页 > 医院动态 > 临床资讯

68岁老太胸腔里竟藏了个“定时炸弹”,开云官方入口 微创手术成功“排雷”

发布时间:2023-09-19 09:07:29作者:胸心外科浏览次数:

近日,我院胸心外科成功为一名68岁胸腺瘤患者实施胸腔镜下胸腺瘤切除术,让患者免受“开胸”之苦。

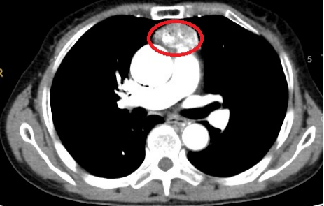
8月初,家住钱集镇的68岁孙阿姨,因“胃息肉”在我院住院治疗。在进行术前常规CT检查时,意外发现“胸腺瘤”。为进一步明确病因,医生予以完善胸部增强CT影像显示:前纵膈占位,考虑为胸腺瘤。

消化病中心立即邀请胸心外科副主任、副主任医师蒋浩进行会诊。经过仔细询问病史、查体,并结合胸部CT等影像检查,蒋浩主任认为:孙阿姨为前纵隔占位,大小约5.3×2.8cm,有手术指征,建议进行手术治疗。 

640.png

▲CT影像显示:患者前纵隔占位

蒋浩主任介绍:“传统手术需要从胸骨正中‘劈开’,创伤较大,患者术后较痛苦,康复慢。随着微创手术领域的高速发展,我院目前常规采用的胸腔镜下切除手术,术中仅用3个0.5Cm、0.5Cm、1.5Cm的‘钥匙孔’,就可以进行精细化操作,完成胸腺瘤切除及纵隔脂肪扩大清扫,尤其是在两侧胸腺上下极清扫、双侧膈神经的显露与保护等方面较其他术式具有其独到的优势,在达到最大程度根治疾病的同时,减少患者痛苦,缩短住院时间并能兼顾美观的效果,也更安全。”经过充分的沟通,孙阿姨及其家属选择手术治疗。 

1695086594657453.gif

手术团队为患者实施手术并完整取出肿瘤物

在进行“胃息肉”治疗3天并完善相关术前准备后,在麻醉科及手术室医护团队的紧密配合下,蒋浩主任带领胸心外科手术团队为孙阿姨实施胸腔镜下胸腺瘤切除术。术中,蒋浩主任在患者左侧置入胸腔镜后,在左侧胸腔部位仅开2个0.5cm切口为辅助操作。胸腔镜进入后,于前纵膈见一直径约5.3×2.8cm分叶状肿瘤,包膜完整,无明显外侵,按手术计划行纵隔肿瘤切除术。术中快速病理也证实为:胸腺瘤。

术后,孙阿姨恢复良好,没有痛感,复查胸腺肿物完整切除,术后第一天就拔管下床活动,第三天便出院居家康复了。

关于胸腺瘤

对于胸腺瘤这种疾病,很多人都是非常陌生的,但是看到名字就能大概的了解这种疾病是发生在什么部位了。

什么是胸腺瘤?

胸腺是人体重要的免疫器官,起源于胚胎时期第3(或第4)鳃弓内胚层,系原始前肠上皮细胞衍生物,随胚胎生长发育而附入前纵隔。起源于胸腺上皮细胞或淋巴细胞的胸腺肿瘤为常见,占胸腺肿瘤的95%。 

1695086754368725.jpg

胸腺瘤有哪些症状?

胸腺瘤多无症状,也不易被发现。肿瘤生长到一定体积时,常有的症状是胸痛、胸闷、咳嗽及前胸部不适。症状迁延日久,部分患者行X线检查或某些患者在查体胸透或摄胸片时发现纵隔肿物阴影,被忽略诊断的胸腺瘤此时常生长到相当大体积,压迫无名静脉或有上腔静脉梗阻综合征的表现。 

640.png

胸腺瘤有几种常见类型?

胸腺瘤是一种常见类型的肿瘤,它分为良性和恶性两大类。良性胸腺瘤治疗还是非常容易的,而且患者做完肿瘤切除手术之后身体健康很快就恢复了;但是恶性胸腺瘤就没有那么简单了,病情严重起来有可能威胁到性命。

选择开胸手术还是胸腔镜微创手术好?

传统的胸腺瘤手术一般采用开胸,切口长度在20cm以上,手术创伤大,恢复慢,胸骨愈合需要3个月。

胸腔镜切除术通过在胸壁上开3个小孔即可完成,大大减轻了创伤,而且比传统手术清除更彻底,出血和并发症少,降低手术风险,一般情况下,术后早期即可出院。因此,胸腔镜微创手术也成为众多患者的优先选择。

Baidu
map